Krunica na implantatu je veštački zub koji se postavlja na zubni implantat, koji je prethodno hirurški ugrađen u kost vilice. Ona je vidljivi deo nadoknade i treba da imitira prirodan izgled zuba, kako po obliku, tako i po boji.
Materijali za krunice na implantatima:
Porcelan/keramika: Najčešće korišćeni materijali zbog svoje estetike i prirodnog izgleda.
Metal-keramika: Sastoji se od metalne baze i porcelanskog sloja, pružajući dobru čvrstoću i estetiku.
Cirkonijum-oksid: Visoko estetski materijal koji pruža izuzetnu čvrstoću i dugotrajnost.


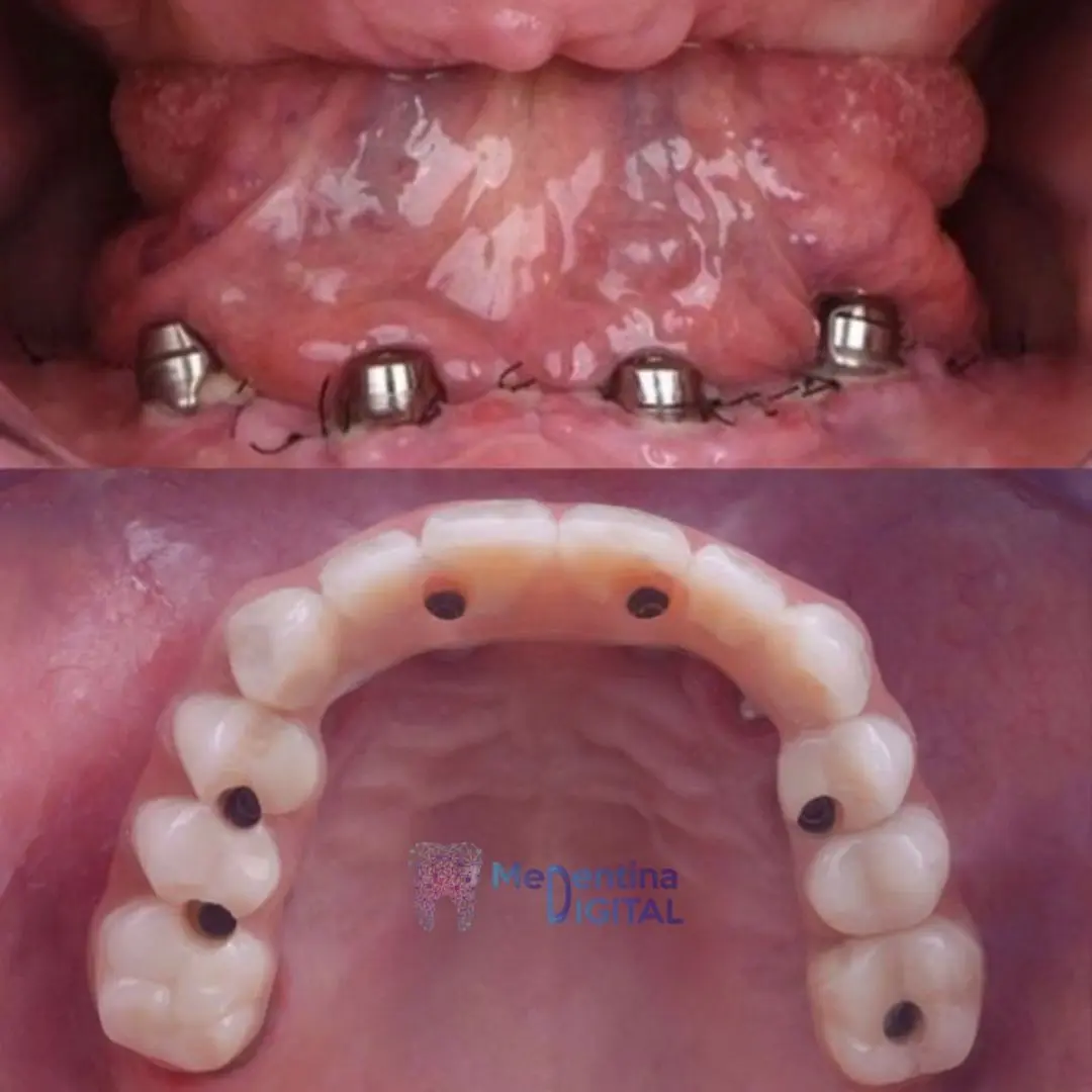
Fiksiranje krunice na implant:
Cementiranje:
Krunica se trajno fiksira cementom za nastavak (abutment) koji je pričvršćen na implantat.


Šrafljenje:
Krunica se šrafom fiksira za nastavak, što omogućava lakšu zamenu ili popravku krunice u budućnosti.
Prednosti krunice na implantatu:
- Obnavlja funkciju žvakanja: Omogućava normalno obavljanje funkcije žvakanja, što utiče na varenje i celokupno zdravlje.
- Vraća estetiku osmeha: Pruža prirodan izgled zuba, poboljšavajući samopouzdanje i osmeh.
- Sprečava pomeranje zuba: Sprečava pomeranje susednih zuba u prazan prostor nastao gubitkom zuba.
- Održava kost vilice: Sprečava resorpciju kosti vilice koja se javlja kada nema zuba.
Održavanje krunice na implantatu:
Redovna oralna higijena:
Pranje zuba dva puta dnevno, korišćenje zubnog konca i interdentalnih četkica za čišćenje prostora između zuba.
Redovne kontrole kod stomatologa:
Preventivne posete stomatologu kako bi se proverilo stanje krunice i okolnog tkiva.
Dodatne informacije:
Pre ugradnje implanta i krunice, neophodno je sanirati sve probleme sa desnima i zubima kako bi se osigurala dugotrajnost i uspešnost nadoknade.
Period oseointegracije (srastanja implanta sa kosti) je važan za uspeh terapije.
Izbor između cementiranja i šrafljenja krunice zavisi od konkretnog slučaja i preporuke stomatologa.

