Bruksizam
- Šta je bruksizam – nesvesno stiskanje ili škrgutanje zubima, obično noću (ukoliko se javlja u toku budnog stanja tada se radi o bruksomaniji).
- Koliko je čest (10–15% odraslih, ali velika učestalost je i kod dece a posebno u ranom detinjstvu).
- Zašto je važno reagovati (oštećenje zuba, desni, bolovi u zglobu i bolovi zuba).


Uzroci
- Stres i anksioznost (najčešći okidač).
- Poremećaji sna (apneja, hrkanje).
- Loš zagrižaj / nepravilnosti u vilici.
- Loše navike (kofein, alkohol, pušenje).
- Neki lekovi (antidepresivi).
Kako se prepoznaje
- Škripanje koje partner čuje noću.
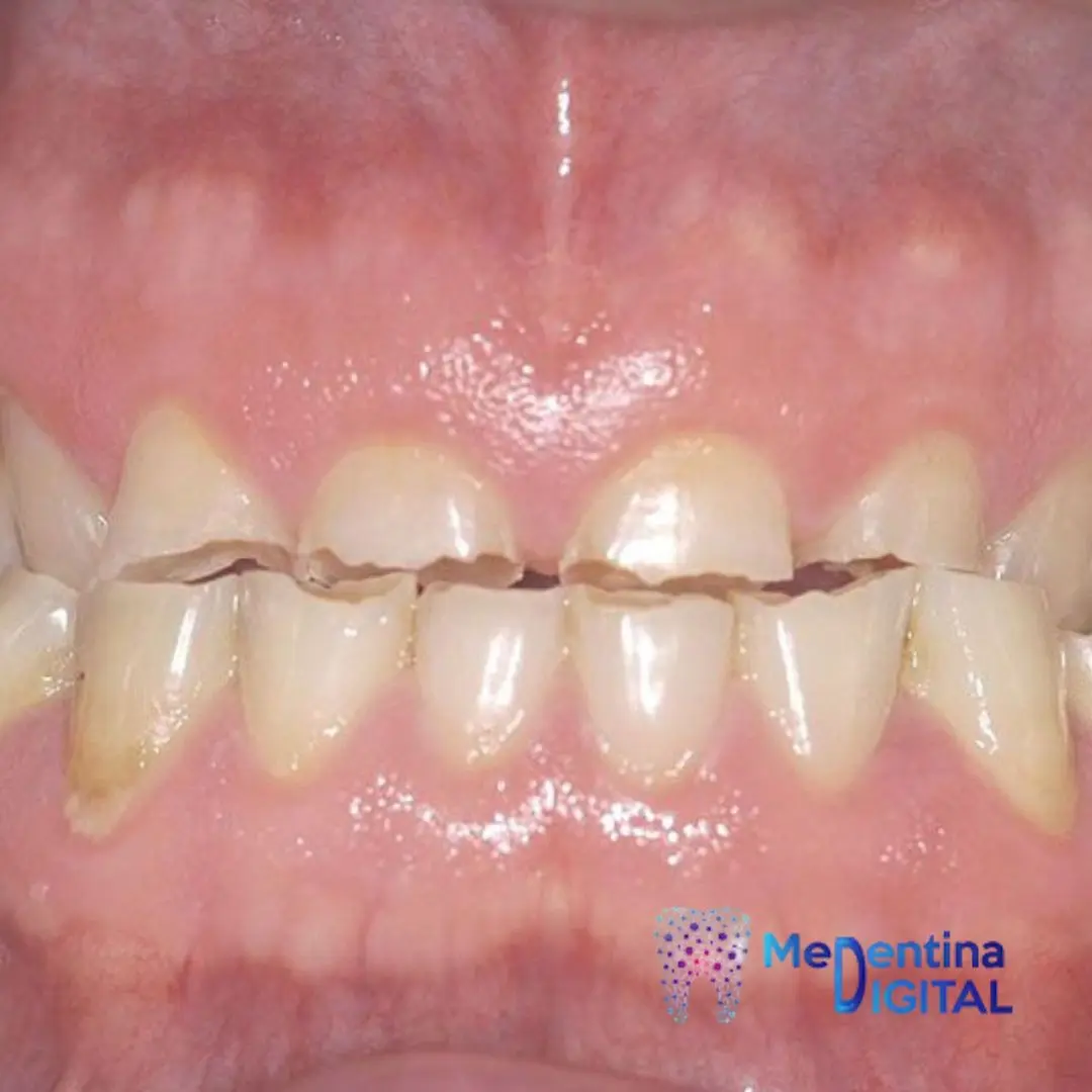
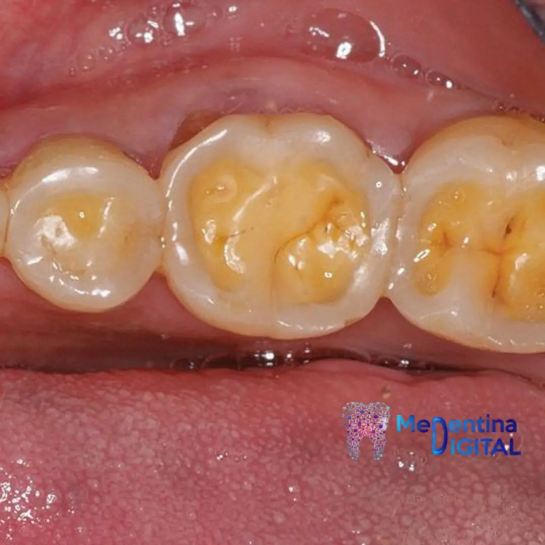
- Oštećena gleđ ili izlizane površine zuba.
- Bol u vilici, uhu, glavobolje.
- Otežano otvaranje usta ujutro.
- Povećana osetljivost zuba.


Posledice ako se ne leči
- Pukotine i frakture zuba.
- Osetljivost, karijes.
- Povlačenje desni.
- Problemi s viličnim zglobom (TMZ).
- Estetski problemi (skraćeni zubi).
Lečenje
- Izrada individualnog splinta (noćne udlage) – glavni korak, štiti zube i zglob.
- Korekcija zagrižaja (po potrebi ortodontski).
- Terapija osnovnog uzroka: upravljanje stresom, higijena sna, eventualno lekovi (ovo obavezno napomenuti uz konsultaciju sa lekarom).
Saveti za samopomoć
- Smanjenje kofeina, alkohola i nikotina.
- Vežbe za opuštanje vilice.
- Topli oblozi na mišiće vilice.
- Rutina pre spavanja za smanjenje stresa.
Ako prepoznajete ove simptome kod sebe, zakažite besplatan pregled da bismo proverili stanje zuba i predložili odgovarajuću terapiju.


